Cos’è la sindrome di Down?

 

 

La sindrome di Down prende il nome dal medico inglese John Langdon Down, che nel 1866 ne ha descritto per primo alcune caratteristiche.
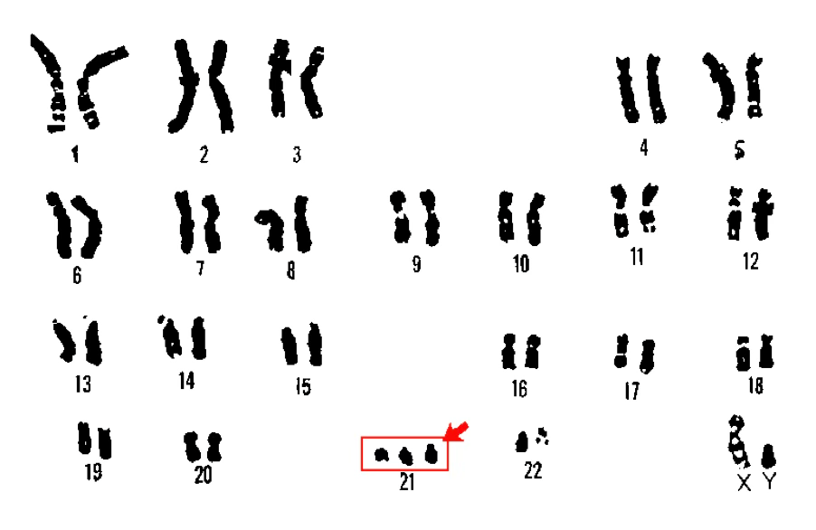
Nel 1959, il genetista Jérôme Lejeune ha individuato la causa: le persone con sindrome di Down hanno un cromosoma in più nelle loro cellule.

Si tratta quindi di una condizione genetica, presente fin dalla nascita, e non di una malattia.

 

Il ruolo dei cromosomi

Il corpo umano è composto da cellule che contengono 46 cromosomi, metà provenienti dalla madre e metà dal padre.
Nella sindrome di Down, invece di due copie del cromosoma 21, ce ne sono tre: per questo la condizione è chiamata anche trisomia 21.

I cromosomi contengono le informazioni che guidano lo sviluppo della persona. Per questo ognuno ha caratteristiche uniche e irripetibili.

 

Le persone con sindrome di Down presentato alcune caratteristiche fisiche ricorrenti, come la particolare forma degli occhi (‘a mandorla’) e alcuni tratti del volto riconoscibili.

Nelle persone con sindrome di Down in media la crescita può essere più lenta o diversa rispetto alla popolazione generale, ma esiste una grande variabilità individuale.

Dal punto di vista della salute, alcune condizioni sono più frequenti, come:

  • cardiopatie congenite
  • disturbi della vista e/o dell’udito
  • problemi tiroidei
  • maggiore suscettibilità ad alcune infezioni

Per questo motivo è importante che le persone con sindrome di Down siano seguite con controlli medici regolari, in base alle linee guida di monitoraggio specifiche.

In comune, le persone con sindrome di Down presentano un ritardo cognitivo di variabile entità, con un livello di disabilità intellettiva che può essere lieve, moderato o, meno spesso, più significativo.

Questo, però, non impedisce l’apprendimento: con i giusti supporti educativi e con tempi adeguati, le persone con Sindrome di Down possono acquisire molte competenze, sviluppare autonomia e costruire una vita piena, ricca di relazioni significative e soddisfazioni personali.

Le 10 cose da sapere sulla sindrome di Down:

  1. Down non vuol dire giù
  2. Prima di tutto siamo persone
  3. Non siamo tutti uguali
  4. Siamo più lenti ma possiamo imparare
  5. Ridiamo, piangiamo, siamo felici e ci arrabbiamo
  6. Diventare autonomi si può
  7. Anche noi diventiamo grandi
  8. Anche noi ci innamoriamo
  9. Sappiamo di essere persone con la sindrome di Down
  10. Vogliamo andare a vivere da soli

(“10 cose che ogni persona con sindrome di Down vorrebbe che tu sapessi” – Anna Contardi AIPD)